【主題攝影組】
第一名
【組織的吶喊】
得獎者 : 醫學系-黃煜翕 劉詩筠 林芫宣 黃筱涵
第二名
【戴著安全帽的呆呆牛】
得獎者 : 牙醫系-汪承希 曾裕珊 郭子瑋 許洋翊 吳翊安 曾寶儀
第三名
【驚嘆之眼!】
得獎者 : 醫學系-蒯彥如 謝羿山 羅頒
【文學攝影組】
第一名
【潮光殘夢】
得獎者 : 牙醫系-陳政郁
作品說明 :
牠在寂靜的海裡徘迴,
尋不回昨日那朵遺落的珊瑚。
它曾鮮紅如焰,如今只剩蒼白的骨架,
靜靜沉眠於潮汐深處。
觸手不再婆娑起舞,
海水也不再輕撫它昔日斑斕的鱗光。
共生的舊時光,如褪色膠卷,
燈滅之後,仍一幕幕在心海悄然回放。
浪聲低語:「不是你的錯,
只是太多熱,太多遠方的喧囂,
把這片樂土,一寸寸燒成了沉默。」
牠依舊守著那道空洞,
像守著一紙無從履行的誓言。
偶爾游出傷痕的影子,
又匆匆躲回那沒有溫度的虛幻深淵。
一尾孤魚,一座靜墓,
一段,逐漸被世界遺忘的傳說。
第二名
【泉】
得獎者 : 牙醫系-黃柄旗
作品說明 :
一陣地動山搖,地表忽地張開一道裂口,微光從洞口灑落而下,照亮潛藏於大地深處的黑暗。深淵之下,炙熱的泉水在岩層間翻湧,蘊藏著無法言喻的力量,悄然積蓄著能量與壓力。剎那間,那股無聲的悸動再也難以按捺,化為一股灼熱氣流,自地底翻騰而上。當壓力突破束縛的那一刻,蒸氣與熱水如狂潮般自裂口噴湧而出,水花四散,氣浪翻騰。每一道湧現的圓泡,都是地殼深處一次劇烈的呼吸;每一次劇烈的爆鳴,都是沉潛之力的釋放與怒吼。這不僅是自然現象的展演,更像是一場來自地心深處的召喚一一穿越黑暗,奔向光明。
第三名
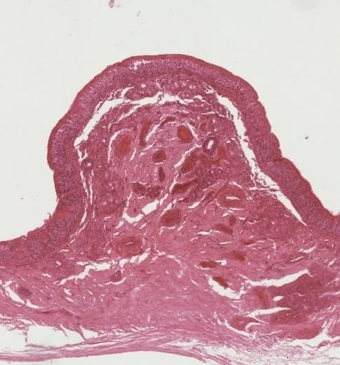
【人類_你偷看我!】
得獎者 : 醫學系-蒯彥如
作品說明 :
透過顯微鏡,我與一隻靜默的猴子對望。
牠不在森林,不在山巒,卻藏身於染紅的組織之中。
是細胞的堆疊?還是演化的回聲?
在這微觀世界裡,細胞勾勒出牠的輪廓,
彷彿毛髮般的膠原纖維,披著歷史的披風。
「人類,你凝視著我,是否也在尋找自己的起點?」
這不僅是一張科學切片,
而是一場靜謐而深遠的相遇––自然的呢喃、演化的回聲、與美感的低語。
在這顯微視野裡,
細胞靜靜排列出一種靈性的凝視,
彷彿記憶深處的某個源頭,悄然被喚醒。










